Introduction to DICOM
DICOM stands for Digital Imaging and Communications in Medicine and is a worldwide standard that defines how to store, exchange, and transmit medical images.
Image devices, including X-rays, Ultrasound, Microscopy, MRI, and CT, utilize this standard as part of modern enterprise imaging solutions to ensure seamless interoperability across healthcare systems.
History of the DICOM Standard
The standard (originally named ACR/NEMA 300) was first created back in 1985 when medical practitioners wanted to decode images to dose-plan for radiation therapy.
Over time, with advancements in medical technology and the rise of enterprise imaging, DICOM underwent major revisions before becoming widely accepted in 1993.
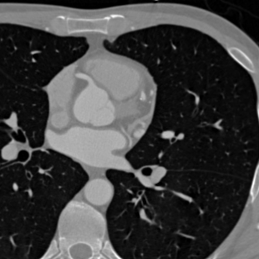
Example of a DICOM Image

Over the years there have been a few different offshoots of the DICOM standard that were implemented in other areas e.g. DICOS (Digital Imaging and Communication in Security) which is used for image sharing in airport security.
The DICOM format
Image and Data Structure
DICOM is a slightly unique format as it does not only store the image pixel data (as a special attribute) but also data sets made up of attributes. These data sets contain critical information that must be kept within the file to ensure they are never separated from each other. This structured approach is essential for enterprise imaging solutions, as it ensures seamless integration of imaging data across different healthcare platforms.
DICOM Data Dictionary
There are over 2000 different attributes that could be added to the file and they are all defined in the DICOM data dictionary. These attributes are in a sense similar to how JPEG files can have embedded tags to describe the image.
Dimensionality and Compression
DICOM files are not limited to one dimensional images. They can represent 3 or 4 dimensional images if the attribute storing the pixel data has multiple frames, allowing the storage of cine loops or other multi-frame data.
The pixel data can be compressed using a variety of standards including: JPEG, Lossless JPEG and JPEG 2000.
The DICOM Standard
DICOM does not only define the image and data sets but also the transport layer protocol and other services. The whole standard is made up of 20 related but independent sections. For example the the Data Dictionary that I mentioned in the previous section is one of these sections.
Additional Services Defined in DICOM
Other sections define a fair few other services that machines can implement to carry out useful tasks. For example there are sections defining:
- – Managing imaging procedure worklists
- – Printing images to digital media like DVDs
- – Reporting procedure status like completion of an imaging acquisition
- – Confirming successful archiving of images
- – Encrypting datasets
- – Removing patient identifying information from datasets
- – Organising layouts of images for review
- – Saving image manipulations and annotations
Advantages
The standard has various advantages including:
- – Single network transactions will transfer both image and patient details
- – Enhanced patient safety (images and data kept together)
- – Consistent standard across multiple devices means better compatibility
- – Store rich acquisition and imaging protocol data, making it a vital component of enterprise imaging in modern healthcare environments.
Disadvantages
- – There has been a study carried out that has shown that one disadvantage of the DICOM standard relates to data entry. If optional fields are added to the file but not filled in correctly then that could cause image objects to be incomplete and cause issues elsewhere.
So there you have it – the DICOM standard.
How to read Dicom images in Java?
Our Java Image library JDeli has Dicom support for developers looking for a pure Java solution. JDeli is the best enterprise-level Java image library forimage manipulation. We have an article which explains How to read Dicom images in Java.
Are you a Java Developer working with Image files?
// Read an image
BufferedImage bufferedImage = JDeli.read(avifImageFile);
// Read an image
BufferedImage bufferedImage = JDeli.read(dicomImageFile);// Read an image
BufferedImage bufferedImage = JDeli.read(heicImageFile);
// Write an image
JDeli.write(bufferedImage, "heic", outputStreamOrFile);// Read an image
BufferedImage bufferedImage = JDeli.read(jpegImageFile);
// Write an image
JDeli.write(bufferedImage, "jpeg", outputStreamOrFile);
// Read an image
BufferedImage bufferedImage = JDeli.read(jpeg2000ImageFile);
// Write an image
JDeli.write(bufferedImage, "jpx", outputStreamOrFile);
// Write an image
JDeli.write(bufferedImage, "pdf", outputStreamOrFile);
// Read an image
BufferedImage bufferedImage = JDeli.read(pngImageFile);
// Write an image
JDeli.write(bufferedImage, "png", outputStreamOrFile);
// Read an image
BufferedImage bufferedImage = JDeli.read(tiffImageFile);
// Write an image
JDeli.write(bufferedImage, "tiff", outputStreamOrFile);
// Read an image
BufferedImage bufferedImage = JDeli.read(webpImageFile);
// Write an image
JDeli.write(bufferedImage, "webp", outputStreamOrFile);
What is JDeli?
JDeli is a commercial Java Image library that is used to read, write, convert, manipulate and process many different image formats.
Why use JDeli?
To handle many well known formats such as JPEG, PNG, TIFF as well as newer formats like AVIF, HEIC and JPEG XL in java with no calls to any external system or third party library.
What licenses are available?
We have 3 licenses available:
Server for on premises and cloud servers, Distribution for use in a named end user applications, and Custom for more demanding requirements.
How does JDeli compare?
We work hard to make sure JDeli performance is better than or similar to other java image libraries. Check out our benchmarks to see just how well JDeli performs.
Is DICOM a standard or dataset?
Hi Rajandeep, DICOM is a standard for the storing, processing, displaying etc of medical files.